Diventa un dentista Weneers
Libro Bianco
It
Benvenuto
Casi trattabili
Tecnologia Weneers
Prima-dopo
Domande frequenti
Testimonianze
Benvenuto
Casi trattabili
Tecnologia Weneers
Prima-dopo
Domande frequenti
Testimonianze
Benvenuto
Casi trattabili
Tecnologia Weneers
Prima-dopo
Domande frequenti
Testimonianze
Diventa un dentista Weneers
Libro Bianco
It
Trouvez un praticien Weneers
Devenez praticien Weneers
Fr
Accueil
Cas traitables
Technologie Weneers
Avant-après
FAQ
Témoignages
Accueil
Cas traitables
Technologie Weneers
Avant-après
FAQ
Témoignages
Accueil
Cas traitables
Technologie Weneers
Avant-après
FAQ
Témoignages
Trouvez un praticien Weneers
Devenez praticien Weneers
Livre Blanc
Fr
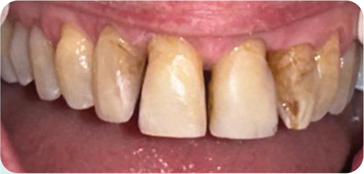
Prima e dopo
Prima e dopo
Intervista di Silvia Arca
Intervista di Silvia Arca
0:00
/
0:00
Nous utilisons des cookies pour vous garantir la meilleure expérience sur notre site web. Si vous continuez à utiliser ce site, nous supposerons que vous en êtes satisfait.
OK
Politique de confidentialité